525 Tyler Road, Suite E
St. Charles, Illinois 60174
(630) 377-4677
Patient 1*
Procedure(s): Gingival Recontouring
Patient 2*
Procedure(s): Gingival Recontouring
Patient 3*
Procedure(s): Gingival Recontouring
Patient 4*
Procedure(s): Gingival Recontouring
Patient 5*
Procedure(s): Gingival Recontouring
Patient 6*
Procedure(s): Gingival Recontouring
Patient 7*
Procedure(s): Gingival Recontouring
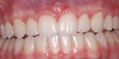
Description: Katie and her mother consulted with Dr. Crosby regarding excessive gum tissue on... »