FAQ
What is a dental implant?
A dental implant is actually an artificial tooth root. Every natural tooth is held in place by a root in the underlying jaw bone. A dental implant serves as an anchor or foundation for the artificial tooth (crown). Together, the implant and the crown act as a substitute for a real tooth.
Why do I need dental implants?
Teeth play an integral role in a person's overall health. At one time the Mayo Clinic estimated a seven year longer life expectancy for patients with natural teeth versus patients with dentures. Teeth can be lost due to tooth decay, tooth fracture, and/or periodontal (gum) disease. Dental implants can provide a lifelike replacement for teeth lost from these problems.
After my implants are placed, can I use my teeth right away?
In some cases, immediate and fixed temporary restorations can be placed at the time an implant is placed. Generally, these temporaries provide a natural, esthetic restoration for appearances and light chewing only. In other cases, the patient can use a retainer type of temporary restoration. Some patients will not need a temporary restoration, especially if the implant is placed in the back of the mouth.
Once the implant is fully integrated (healed) into the bone, approximately 4-6 months after implant placement, a permanent restoration can be placed and this can be used as a regular tooth. In some cases, the implant restoration will be stronger than the natural tooth.
If I have a broken tooth, or I am losing a tooth from decay or gum disease, can an implant be placed when the tooth is removed?
In most cases, failing teeth can be removed and the implants can be placed at the same visit provided there has not been much damage to the bone site where the implants are to be placed. However, each case needs to be evaluated individually.
Occasionally, an extraction socket will need to be allowed to heal prior to implant placement. In this case, the extraction will be done, and after a healing period of approximately 10-16 weeks, the implant will be placed.
A bridge would be less expensive, and my insurance will pay for this treatment, why shouldn't I just do that?
The first consideration is that insurance companies only provide compensation for services in a predetermined plan. These plans do not necessarily cover treatment which is in the patient's best interest. They are only a contractual arrangement between an employer and the insurance company.
The second consideration is that a bridge requires that the adjacent teeth be irreversibly damaged in order to complete the treatment. Statistically over the long term, the implant option will be less expensive and will result in the patient keeping more of the natural teeth than the bridge option. Thirty percent of all bridges are known to fail within the first 15 years. Commonly when bridges fail, one or both of the teeth holding the bridge are lost as well.
Are there different types of restorations that can be placed on dental implants?
There are many options available to patients whose teeth are failing. For a patient losing one tooth, a single implant can be placed followed by a single tooth crown.
If a patient is missing multiple teeth, multiple implants with individual crowns can be placed or a bridge can be placed on two implants.
For patients losing all their teeth, a complete set of replacements with individual crowns can be placed or dentures can be made to attach to supportive implants. This type of denture is more stable and will not move around providing a more natural, comfortable fit.
If I am losing my teeth and want implants, will I have to go without teeth while the implants are healing?
In almost all cases, a variety of temporary replacements are available. Some temporaries can be made which approximate the appearance and feel of natural teeth. In extremely rare cases, no temporary replacements are recommended during the healing phase of treatment.
Is it painful to have implants placed?
Compared to other dental procedures, implant placement can be quick and relatively pain free. Placement of one or two implants in a healed jaw requires only local anesthetic the same used during a filling or a root canal. Following the procedure, most patients feel a little discomfort for a day or two and then they feel as if nothing was done. Over the counter pain medication is usually all that is needed for pain control.
If multiple extractions followed by multiple implants are completed along with bone grafting, there can be significantly more discomfort, along with post operative swelling and bruising. For these more extensive procedures, medication can be provided prior to the procedure to relax the patient and to alleviate any anxiety the patient may have about the procedure. Various prescription pain medications are available to control pain. We can also offer the assistance of Dr. Michael Higgins, Anesthesiologist, to administer general anesthesia during these procedures as required. An appointment with Dr. Higgins would need to be prearranged.
What is bone grafting? Why is it needed, and where does the bone come from?
Bone grafting is a procedure used to preserve or regenerate bone tissue to anchor a dental implant. A bone graft is needed when there is a deficiency of existing bone to anchor the implant or for esthetic purposes. There are a variety of materials, either synthetic or donated, which can be used for this procedure.
What problems or complications can occur from implant placement?
There are several concerns with implant dentistry.
The primary concern is loss of the implant. Should an implant fail to integrate, your alternative for conventional dentistry should remain similar to your alternatives prior to placing the implants. In most cases the implant can be replaced and work well even if a failure occurred the first time.
|
|
|
![]() Final Restoration 1 Year After Implant Replacement |
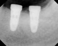
![]() Final Restoration x-ray 1 Year After Implant Replacement |
There is a small possibility of long standing infection which may be difficult to control. When implants are placed under sterile conditions these infections are kept to a minimum.
When a dental implant is placed in the lower jaw, permanent numbness on the lower part of the patient's face can occur in a small percentage of patients. To date we have not had a single patient experience permanent numbness following placement of a dental implant.
How do the implants feel?
The final restoration can feel foreign at first. However within the first couple weeks, patients with newly restored dental implants will become accustomed to the new dentition. There may be some adjustments to speaking patterns for patients who receive full mouth restorations, but implants replacing only a few teeth will feel very natural soon after the final restorations are complete.
How long can I expect a dental implant to last?
Most implant restorations can last for a lifetime. A typical implant restoration is not susceptible to the same concerns as natural teeth.
What is the success rate for dental implants?
We have placed over 12,000 implants, and have a success rate of approximately 95 percent for patients who do not smoke. In patients who do smoke, the success rate is approximately 90 percent.
Does the jaw bone deteriorate by having implants placed?
Most practitioners would agree that in patients who have lost all their teeth, that the loss of jaw bone usually experienced over time will actually be stopped or slowed by having implants placed. This is because the pressure which is usually placed on the ridge by the denture would now be placed on the implants. Over the long term this may result in a better facial contour and profile, than what would be experienced with dentures over that same time period.
How do I know if dental implants are for me?
To a large part, you have to decide that for yourself. Your general dentist and our doctors can let you know if it is possible to place dental implants and the likelihood for success. Implants provide a great service to patients who prefer replacements for failed teeth that are very similar to their own natural teeth.
Are there any medical conditions which contraindicate placement of dental implants?
We review each patient's full medical history at the time of their consultation. Almost all patients who desire implants can be considered for implant placement. Our treatment coordinators will work closely with each patient's medical physician should a specific health condition become relative.
If a patient is taking Fosamax or a related medication for osteoporosis, or for control of bone fracture following cancer treatment, please advise our doctors.
What is the usual course of treatment for placement of a dental implant?
- Consultation Appointment
- Surgical Dental Implant Placement Appointment
- Two week Follow Up Appointment
- Six to Ten Week Observation Appointment
- Last Observation Appointment and Release to General Dentist for Restorative Care
- Yearly Post Operative Appointments following restoration
For simple cases when the patient knows they want the implant, and there are no medical concerns, the implant can be placed at the consultation visit. These cases typically only require two post-op visits prior to being referred back to the dentist for restorative care.
Following dental implant placement, what is the usual healing time needed before I can complete my final restorative care?
For the upper arch, implants can take from four to six months to heal. For the lower arch, dental implants can take from two to four months to heal.
What precautions do I need to take before surgery?
A complete health history is taken for all patients protection which includes a list of all prescription drugs. Please be especially sure to let our staff know if you are taking any blood thinners, including Plavix and Coumadin, or any bisphosphonate medications, including Fosamax, Aredia or Zometa.
As for the surgery itself, it is best to refrain from smoking two weeks prior and two weeks post surgery. Please be sure to take all preoperative and post operative prescribed medications as directed.
What is meant by final restorative care?
Following dental implant placement, the patient will have the root for a new tooth. Once this area is sufficiently healed, the patient will be released from our office to a general dentist for the final restorative care. This includes fabrication of the tooth (crown). Once the crown is complete, the general dentist will permanently attach the crown to the dental implant. This procedure is also true for fabrication of an implant supported bridge or implant supported denture.
Will my new teeth look natural?
The final appearance of the restoration depends on the amount of preoperative bone and soft tissue present. An excellent preoperative appearance of these tissues will result in a better postoperative result. Since this is a biologic process, highly dependent upon an individual's ability to heal, final results cannot be guaranteed.
Less than Ideal Bone Pre Operatively
![]() Post Extraction Note less than ideal bone pre-implant placement. |
![]() Post Op Photo with Crown note longer tooth. |
Ideal Bone and Tissue Both Pre and Post Operatively
![]() Pre Op Photo |
![]() Post Op Photo |
Does the fee for the implants include the final restorations?
Placement of dental implants should be viewed as a two step process. The first step, placement of the dental implant or tooth root, is done in our office. The surgical fee in our office includes all surgical care and follow-up appointments in our office for the first year after implant placement.
The next steps, fabrication and placement of the final crown (or implant supported bridge/denture) are completed at your general dentist's office. Your general dentist will bill you for these fees separately.









