Treatment – Multiple Teeth
Multiple Teeth Replacement
If multiple teeth have been lost or are about to be lost, dental implant therapy can replace the missing teeth without damaging adjacent teeth and while maintaining underlying bone. With the help of dental implants, partial dentures or long-span bridges can be replaced to offer comfort, function and esthetics. The exact number of implants required to provide adequate, long-lasting support depends on many factors, including the amount and quality of available bone, the bite and other anatomic factors. |
Implant Supported Bridge
X-ray of Implant Supported Bridge |
Photograph of Same Bridge |
Implant Supported Fixed Bridges to Replace All Posterior Teeth
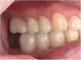
Implant Supported Bridges 5 Years After Final Restorations Were Placed (Right Side) |
X-ray of Same Bridges 5 Year After Restoration |
|
Implant Supported Bridges 5 Years After Final Restorations Were Placed (Left Side) |
X-ray of Same Bridges 5 Years After Final Restoraton |







